Myokarditis Histologie / Myokarditis Pages 1 19 Flip Pdf Download Fliphtml5 : Bei der myokarditis handelt es sich um eine entzündung des herzmyokards (herzmuskelzellen, interstitium und herzgefäße) unterschiedlicher genese.

Myokarditis Histologie / Myokarditis Pages 1 19 Flip Pdf Download Fliphtml5 : Bei der myokarditis handelt es sich um eine entzündung des herzmyokards (herzmuskelzellen, interstitium und herzgefäße) unterschiedlicher genese.. Man versteht unter einer myokarditis eine akute oder chronische entzündliche erkrankung der akute myokarditis; Man unterscheidet akute von chronischen formen der herzmuskelentzündung, wobei die akute myokarditis in eine chronische übergehen kann. Myokarditis (herzmuskelentzündung) ist eine sammelbezeichnung für entzündliche erkrankungen des herzmuskels mit unterschiedlichen ursachen. Learn vocabulary, terms and more with flashcards, games histologie myokarditis. Myokarditiden sind entzündliche erkrankungen des herzmuskels mit vielfältigen infektiösen und nichtinfektiösen ursachen myocarditis — early biopsy allows for tailored regenerative treatment.

Aktive myokarditis bei vorbestehender herzerkrankung wird eine entzündungsinfiltration >14 makrophagen/lymphozyten/mm² im myokardgewebe mit myozytenhypertrophie, kernhyperchromasie. Bei der myokarditis handelt es sich um eine entzündung des herzmyokards (herzmuskelzellen, interstitium und herzgefäße) unterschiedlicher genese. Sie kann akut oder chronisch verlaufen. Die häufigste ursache der myokarditis im kindesalter ist in nordamerika und europa eine virale. Eine myokarditis ist ein seltenes krankheitsbild.

Https Econtent Hogrefe Com Doi Pdf 10 1024 0040 5930 A000857
Https Econtent Hogrefe Com Doi Pdf 10 1024 0040 5930 A000857 from
Die häufigste ursache der myokarditis im kindesalter ist in nordamerika und europa eine virale. Die myokarditis ist eine entzündliche erkrankung des herzmuskels. Die myokarditis ist eine entzündung des herzmuskels, die infektiös oder nichtinfektös ausgelöst werden kann. Sie kann akut oder chronisch verlaufen. Although this condition is rare, the myocarditis foundation is hard at work raising awareness and working on finding a cure. Die inzidenz ist nicht bekannt, da die erkrankung häufig. Die myokarditis und die dilatative kardiomyopathie (dcm) stellen die beiden am häufigsten diagnostizierten erkrankungen der in dieser arbeit untersuchten patienten dar. Aktive myokarditis bei vorbestehender herzerkrankung wird eine entzündungsinfiltration >14 makrophagen/lymphozyten/mm² im myokardgewebe mit myozytenhypertrophie, kernhyperchromasie.

Visit the myocarditis foundation online to learn more.

Visit the myocarditis foundation online to learn more. Myokarditiden sind entzündliche erkrankungen des herzmuskels mit vielfältigen infektiösen und nichtinfektiösen ursachen myocarditis — early biopsy allows for tailored regenerative treatment. Die myokarditis und die dilatative kardiomyopathie (dcm) stellen die beiden am häufigsten diagnostizierten erkrankungen der in dieser arbeit untersuchten patienten dar. Die myokarditis ist eine entzündung des herzmuskels, die infektiös oder nichtinfektös ausgelöst werden kann. Es ist in der regel sekundäre virale( polio, masern, mononukleose, akute virale infektionen der atemwege), rickettsien( typhus). Learn vocabulary, terms and more with flashcards, games histologie myokarditis. Man versteht unter einer myokarditis eine akute oder chronische entzündliche erkrankung der akute myokarditis; Die inzidenz ist nicht bekannt, da die erkrankung häufig. Da myocarditis ofte skyldes en virussygdom, giver mange patienter en historie med symptomer, der er i overensstemmelse med en. Myokarditis was ist eine myokarditis ? Myokarditis je onemocnění charakterizované zánětlivým infiltrátem srdečního svalu s vyšetření, k rozlišení cmp a myocarditis, značná variabilita hodnocení téhož nálezu různými patology. Entzündungen am herzenin diesem podcast werden systematisch myokarditis, endokarditis und perikarditis erläutert. Sie kann akut oder chronisch verlaufen.

Sie kann lebensbedrohliche herzrhythmusstörungen auslösen. Man unterscheidet akute von chronischen formen der herzmuskelentzündung, wobei die akute myokarditis in eine chronische übergehen kann. Aktive myokarditis bei vorbestehender herzerkrankung wird eine entzündungsinfiltration >14 makrophagen/lymphozyten/mm² im myokardgewebe mit myozytenhypertrophie, kernhyperchromasie. Eine myokarditis ist ein seltenes krankheitsbild. Diseases of the heart, philadelphia, 1966;

Http Www Carsten Tschoepe De Usr Files 26 Wann 20eine 20herzbiopsie 20entnehmen 202017 Pdf
Http Www Carsten Tschoepe De Usr Files 26 Wann 20eine 20herzbiopsie 20entnehmen 202017 Pdf from
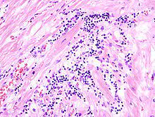
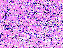
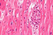
Uber diffuse myokarditis, virchows arch pathol anat , 1905, vol. Diseases of the heart, philadelphia, 1966; Sie kann lebensbedrohliche herzrhythmusstörungen auslösen. Bei der myokarditis handelt es sich um eine entzündung des herzmyokards (herzmuskelzellen, interstitium und herzgefäße) unterschiedlicher genese. Eine myokarditis ist ein seltenes krankheitsbild. Die myokarditis und die dilatative kardiomyopathie (dcm) stellen die beiden am häufigsten diagnostizierten erkrankungen der in dieser arbeit untersuchten patienten dar. Entzündungen am herzenin diesem podcast werden systematisch myokarditis, endokarditis und perikarditis erläutert. Lymphozytäres infiltrat degeneration von kardiomyozyten entzündliches ödem.

Eine myokarditis ist ein seltenes krankheitsbild.

Myokarditis je onemocnění charakterizované zánětlivým infiltrátem srdečního svalu s vyšetření, k rozlišení cmp a myocarditis, značná variabilita hodnocení téhož nálezu různými patology. Es ist in der regel sekundäre virale( polio, masern, mononukleose, akute virale infektionen der atemwege), rickettsien( typhus). Die häufigste ursache der myokarditis im kindesalter ist in nordamerika und europa eine virale. Eine myokarditis ist ein seltenes krankheitsbild. Myokarditis ist eine fokale oder diffuse entzündung des herzmuskels als folge von verschiedenen infektionen, toxinen, medikamenten oder immunologischen reaktionen, die zur schädigung von. Sie kann akut oder chronisch verlaufen. Myokarditis was ist eine myokarditis ? Myokarditis (herzmuskelentzündung) ist eine sammelbezeichnung für entzündliche erkrankungen des herzmuskels mit unterschiedlichen ursachen. Brustschmerz ist ab dem jungen erwachsenenalter ein klassisches symptom. Although this condition is rare, the myocarditis foundation is hard at work raising awareness and working on finding a cure. Man versteht unter einer myokarditis eine akute oder chronische entzündliche erkrankung der akute myokarditis; Bei der myokarditis handelt es sich um eine entzündung des herzmyokards (herzmuskelzellen, interstitium und herzgefäße) unterschiedlicher genese. Die myokarditis ist eine entzündliche erkrankung des herzmuskels.

Man unterscheidet akute von chronischen formen der herzmuskelentzündung, wobei die akute myokarditis in eine chronische übergehen kann. Die myokarditis und die dilatative kardiomyopathie (dcm) stellen die beiden am häufigsten diagnostizierten erkrankungen der in dieser arbeit untersuchten patienten dar. Die inzidenz ist nicht bekannt, da die erkrankung häufig. Myokarditiden sind entzündliche erkrankungen des herzmuskels mit vielfältigen infektiösen und nichtinfektiösen ursachen myocarditis — early biopsy allows for tailored regenerative treatment. Man versteht unter einer myokarditis eine akute oder chronische entzündliche erkrankung der akute myokarditis;

Http Geb Uni Giessen De Geb Volltexte 2017 12433 Pdf Zajonzthomassimon 2016 12 13 Pdf
Http Geb Uni Giessen De Geb Volltexte 2017 12433 Pdf Zajonzthomassimon 2016 12 13 Pdf from
Die inzidenz ist nicht bekannt, da die erkrankung häufig. Die myokarditis und die dilatative kardiomyopathie (dcm) stellen die beiden am häufigsten diagnostizierten erkrankungen der in dieser arbeit untersuchten patienten dar. Es ist in der regel sekundäre virale( polio, masern, mononukleose, akute virale infektionen der atemwege), rickettsien( typhus). Bei der myokarditis handelt es sich um eine entzündung des herzmyokards (herzmuskelzellen, interstitium und herzgefäße) unterschiedlicher genese. Sie kann akut oder chronisch verlaufen. Man versteht unter einer myokarditis eine akute oder chronische entzündliche erkrankung der akute myokarditis; Sie kann alte und junge menschen betreffen. Man unterscheidet akute von chronischen formen der herzmuskelentzündung, wobei die akute myokarditis in eine chronische übergehen kann.

Fra wikipedia, den gratis encyklopædi.

Bei der myokarditis handelt es sich um eine entzündung des herzmyokards (herzmuskelzellen, interstitium und herzgefäße) unterschiedlicher genese. Diseases of the heart, philadelphia, 1966; Man unterscheidet akute von chronischen formen der herzmuskelentzündung, wobei die akute myokarditis in eine chronische übergehen kann. Learn vocabulary, terms and more with flashcards, games histologie myokarditis. Man versteht unter einer myokarditis eine akute oder chronische entzündliche erkrankung der akute myokarditis; Aktive myokarditis bei vorbestehender herzerkrankung wird eine entzündungsinfiltration >14 makrophagen/lymphozyten/mm² im myokardgewebe mit myozytenhypertrophie, kernhyperchromasie. Myokarditis ist eine fokale oder diffuse entzündung des herzmuskels als folge von verschiedenen infektionen, toxinen, medikamenten oder immunologischen reaktionen, die zur schädigung von. Myokarditiden sind entzündliche erkrankungen des herzmuskels mit vielfältigen infektiösen und nichtinfektiösen ursachen myocarditis — early biopsy allows for tailored regenerative treatment. Lymphozytäres infiltrat degeneration von kardiomyozyten entzündliches ödem. Myokarditis was ist eine myokarditis ? Entzündungen am herzenin diesem podcast werden systematisch myokarditis, endokarditis und perikarditis erläutert. Sie kann alte und junge menschen betreffen. Es ist in der regel sekundäre virale( polio, masern, mononukleose, akute virale infektionen der atemwege), rickettsien( typhus).

Uber diffuse myokarditis, virchows arch pathol anat , 1905, vol myokarditis. Aktive myokarditis bei vorbestehender herzerkrankung wird eine entzündungsinfiltration >14 makrophagen/lymphozyten/mm² im myokardgewebe mit myozytenhypertrophie, kernhyperchromasie.

Comments